Próteses Cerâmicas: Orientações Fundamentais para a Durabilidade do Seu Tratamento
A reabilitação com próteses cerâmicas é atualmente uma das soluções mais previsíveis e duradouras da odontologia restauradora moderna.
SAÚDE
Dr. Nícolas Xavier - CRO 14762
2/23/20262 min read


Próteses Cerâmicas: Orientações Fundamentais para a Durabilidade do Seu Tratamento
A reabilitação com próteses cerâmicas é atualmente uma das soluções mais previsíveis e duradouras da odontologia restauradora moderna.
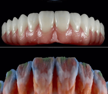
Na BellaVita Odontologia, cada caso é planejado com fluxo digital, análise oclusal criteriosa e seleção de materiais cerâmicos de alta performance.
Entretanto, é importante compreender:
A longevidade do tratamento depende diretamente da adesão às orientações pós-tratamento.
Evidência Científica Sobre Longevidade
Revisões sistemáticas internacionais demonstram que próteses cerâmicas apresentam taxas de sobrevivência superiores a 90% em acompanhamento de longo prazo, quando associadas a controle clínico periódico e manutenção adequada:
Sailer et al., Dental Materials, 2015.
Pjetursson et al., Clinical Oral Implants Research, 2018.
Esses estudos também demonstram que as principais causas de complicações são:
Sobrecarga oclusal
Bruxismo
Lascamento cerâmico por impacto
Falta de acompanhamento periódico
Ou seja, a falha raramente está relacionada ao material quando o protocolo é corretamente executado — mas sim ao comportamento funcional e ausência de manutenção.
Fatores que Podem Comprometer Sua Prótese
1. Sobrecarga Mastigatória
Evite morder:
Gelo
Ossos
Alimentos extremamente rígidos
Objetos não alimentares
Microfraturas podem ocorrer mesmo sem dor imediata.
2. Bruxismo e Apertamento Dental
O bruxismo é reconhecido como fator de risco para complicações mecânicas em reabilitações protéticas (Manfredini et al., 2014; Lobbezoo et al., 2018).
Quando indicada, a placa oclusal noturna não é opcional.
Ela faz parte do protocolo de proteção do tratamento.
3. Ausência de Revisões Periódicas
A literatura também evidencia que acompanhamento profissional reduz significativamente complicações biológicas e mecânicas (Lang & Berglundh, 2011).
Revisões permitem:
Ajustes oclusais precoces
Controle de inflamação gengival
Identificação de lascamentos iniciais
Preservação estrutural do trabalho
Periodicidade Recomendada
A recomendação padrão é revisão a cada 6 meses.
Pacientes com:
Bruxismo
Implantes
Reabilitações extensas
podem necessitar acompanhamento mais frequente.
Responsabilidade Compartilhada
O tratamento foi planejado e executado seguindo protocolos baseados em evidência científica.
As orientações aqui descritas fazem parte integrante do sucesso terapêutico.
A não observância dessas recomendações aumenta o risco de complicações, sendo responsabilidade do paciente aderir ao plano de manutenção proposto.
Nosso compromisso é entregar excelência técnica.
A manutenção adequada protege seu investimento e sua saúde.
Referências Científicas
Sailer I, et al. Dental Materials. 2015.
Pjetursson BE, et al. Clinical Oral Implants Research. 2018.
Manfredini D, et al. Clinical Implant Dentistry and Related Research. 2014.
Lobbezoo F, et al. Journal of Oral Rehabilitation. 2018.
Lang NP, Berglundh T. Journal of Clinical Periodontology. 2011.
Contato
Fale conosco pelo WhatsApp ou e-mail
bellavitaodontologia2@gmail.com
© 2025. All rights reserved.
